Привет-привет, ребята и девчата!

Я — Ушастик Чистозуб, эксперт по уходу за зубками. Правильно чистить зубки, регулярно посещать стоматолога и употреблять меньше сладостей — главные правила красивой улыбки. Научись правилам ухода за зубами вместе со мной, и ты будешь улыбаться уверенно и счастливо!

Стоимость

Адаптационно-гигиенический прием
2 600 ₽
Плановый лечебно -диагностический прием
2 600 ₽
Диагностика кариозных поражений ультразвуковым аппартом DIAGNO Cam KaVo
1 900 ₽
Покрытие зубов фторсодержащими препаратами
2 800 ₽
Реминерализующая терапия зуба с использованием препарата Icon
5 000 ₽
Герметизация фиссур с использованием гелио-композита
5 000 ₽
Профилактика здоровья молочных зубов у детей – основа здоровой улыбки на всю жизнь. Родителям важно помнить, что уход за первыми зубами начинается задолго до появления первого зуба и продолжается до того момента, как последний молочный зуб сменится постоянным. Сеть клиник Руссдент предлагает комплексные программы по уходу за молочными зубами, включающие в себя профессиональную гигиену, фторирование и герметизацию фиссур, направленные на предотвращение кариеса и других заболеваний полости рта у детей.
Профилактика как фундамент долгосрочного здоровья зубов. Руссдент сосредоточена не только на лечении уже существующих заболеваний, но и на их предотвращении. Это позволяет сформировать у ребенка правильные привычки ухода за полостью рта с раннего возраста и избежать многих проблем в будущем. Выбирая сеть клиник Руссдент для проведения профилактических процедур для молочных зубов, родители обеспечивают своим детям не только высокий уровень профессионального ухода, но и заботятся о формировании основ здоровой улыбки на всю жизнь.
Профессиональная гигиена полости рта – это первый и самый важный шаг в профилактике зубных заболеваний. В сети клиник Руссдент данная процедура включает в себя удаление зубных отложений и налета, которые могут привести к развитию кариеса и воспалительных заболеваний десен. Специалисты используют мягкие и безопасные методы очистки, подходящие даже для самых маленьких пациентов. Регулярное проведение профессиональной гигиены помогает научить детей правильному уходу за зубами и формирует положительное отношение к визитам к стоматологу.
Фторирование – это процесс насыщения эмали зубов фтором, который значительно повышает её устойчивость к кариесу. В Руссдент применяются современные фторсодержащие препараты, которые обеспечивают длительную защиту молочных зубов от разрушения. Процедура абсолютно безболезненна и может быть выполнена в игровой форме, что особенно важно для маленьких пациентов. Фторирование рекомендуется проводить регулярно, для поддержания постоянного уровня защиты эмали.
Герметизация фиссур это профилактическое мероприятие, направленное на защиту уязвимых участков в еще не зрелой эмали постоянных жевательных зубов. Многие родители наших маленьких пациентов, почитав информацию о данной процедуре из различных источников (иногда совсем не медицинского значения) не могут иметь полного представления о том, насколько опасна данная процедура! При неправильном проведении запечатывания фиссур можно в последующем потерять зуб! А ведь речь идет чаще о постоянных зубах!
Процедура герметизации зубов требует строгий алгоритм проведения, четкость соблюдения протокола, и необходимое материально-техническое оснащение. Фиссуры- это углубления в зубе, находящиеся между буграми. В них скапливаются остатки пищи, микроорганизмы, которые поглощают эту пищу и выделяют кислоты, разрушающие эмаль. А некоторые продукты и без того содержат кислоты: соки, молочно-кислые продукты и др.
Наличие такого риска разрушения эмали усугубляется не полноценной зрелостью и минерализацией эмали в первые 2-3 года после прорезывания зуба, а так же отсутствием полноценного фиссурно-бугоркового контакта в течение этого времени. Есть еще один немаловажный момент! Фиссуры бывают двух видов: открытые (не более, чем у 10% детей) и закрытые (большинство). Закрытые- это каплеобразные фиссуры с узким входом и широкой полостью внутри зуба, как бутылка. Часто родители детей, имеющих такие фиссуры видят крошечную точку, которая годами не меняется.
Но, когда верхний слой эмали истончается и под жевательной нагрузкой разрушается, видят огромную, внезапно возникшую дыру! Этот вид фиссур, не спасет никакая дорогая и очень хорошая зубная паста или реминерализующие гели... Здесь необходимо качественно герметизировать фиссуры! Для проведения процедуры запечатывания фиссур в нашей клинике мы используем аппаратное абразивное очищение фиссур, изоляцию от влаги, медикаментозную и адгезивную подготовку и, собственно- заполнение их герметиком.
Герметик не мешает формированию правильного прикуса, т.к. заполняет только фиссуры, остальные анатомические образования сохраняются. С моментом полного допрорезывания зуба и появлением плотного контакта с антагонистом (таким же зубом на противоположной челюсти) необходимость в герметике становится меньше и он постепенно «уходит» (стирается самостоятельно или скалывается).

Запишись
на приём

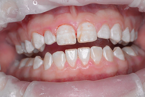
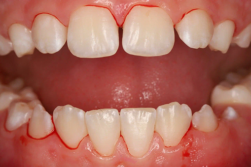
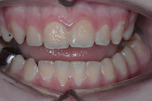
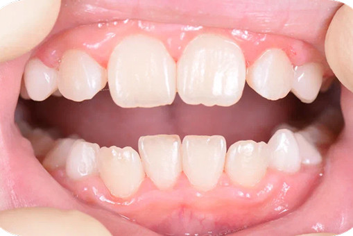
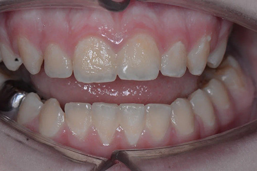
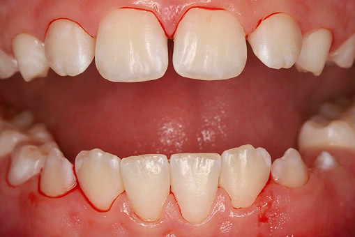
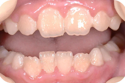
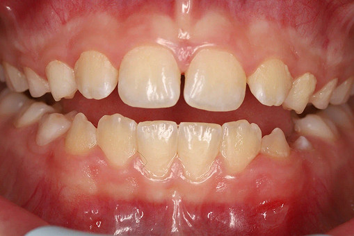
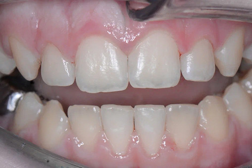
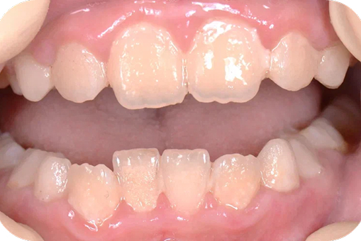
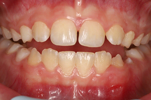
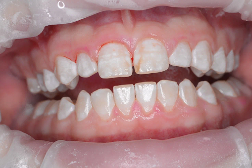
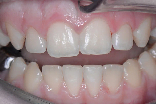
До/после лечения

Руссдент — это полноценная стоматологическая экосистема. У нас ты найдёшь всё для лечения своих зубов

Индивидуальный подход

Специалисты клиники уделяют особое внимание индивидуальным особенностям каждого ребенка, что позволяет подобрать оптимальную программу профилактики, исходя из состояния здоровья зубов и десен, а также учитывая возрастные особенности.

Обучение родителей

Клиника активно работает не только с маленькими пациентами, но и их родителями, предоставляя полезную информацию о правильном уходе за зубами дома и необходимости регулярной профилактики.

Использование передовых технологий и материалов

Руссдент применяет последние достижения в области детской стоматологии, что позволяет проводить профилактические процедуры быстро, эффективно и с максимальным комфортом для маленьких пациентов.