Отбеливание зубов в Краснодаре и Новороссийске

Пациентам рекомендовано проходить курс ультразвуковой чистки 2 раза в год. При наличии установленных конструкций в полости рта, посещать врача-гигиениста следует чаще.Процедура не имеет противопоказаний, но при выполнение ультразвуковой чистки, следует ограничить лицам при:

  • Эрозивно измененной эмали
  • Воспалительных заболеваниях дёсен
  • Нарушениях ритма сердца
  • Детям и подросткам с проблемами прикуса

Этапы отбеливания зубов

  • Удаление камня с помощью ультразвукового сканера

  • Удаления мягкого налета (Эмаль при этом обрабатывается аэрозолью, состоящей из воды и соды)

  • Устраняется не только налёт, но и пигментные пятна, а также шлифуется эмаль

  • Завершается комплексный процесс полировкой зубной пластины

  • Спустя несколько дней проходит отбеливание с помощью аппарат Zoom4

Важно

Между чисткой и отбеливанием, должно пройти несколько дней для заживления микротравм дёсен. Также, перед отбеливанием рекомендуется укрепить зубную эмаль.

ZOOM 4 система отбеливания № 1 в Мире

В состав входит специальный гель с перекисью водорода и карбамидом. Средство становится активным благодаря использованию света и тепла профессиональной тепловой лампы. Исходящее от неё тепло, нагревает вещество и происходит выделение активного кислорода. Он проникает в зубную ткань в виде ионов и происходит разрушение пигмента.

В следствие, эмаль может стать светлее на 7-8 тонов

Длительность эффекта от процедуры составляет от 1 до 5 лет

Манипуляция проходит в несколько этапов:

  • Стоматолог определяет оттенок зуба
  • Защита дёсен от действия геля
  • Нанесение отбеливающего состава с последующей фиксацией под действием световой лампы

Через несколько минут специалист убирает лишний гель и снова наносит его повторно в той же последовательности. В конце удаляется защитное вещество с дёсен и остатки геля. Система отбеливания Zoom имеет свои достоинства и недостатки.

Достоинства Zoom 4

  • Оперативность. Один поход к стоматологу позволит отбелить зубы на несколько оттенков
  • Безопасность и эффективность
  • Непродолжительный период восстановления

Недостатки Zoom 4

  • Сверхчувствительность и неприятные ощущения во время нагрева лампой, которые могут сохраняться до нескольких дней
  • Первые двое суток после процедуры нужно придерживаться специальной диеты, исключающей употребления в пищу продуктов, способных окрасить эмаль. К ним относятся: кофе, какао, шоколад, напитки красного цвета из натуральных ягод, соусы с натуральными красителями, красящие овощи (свёкла, морковь). В случае употребления таких продуктов, зубы необходимо сразу почистить щёткой с пастой.

В связи с повышенной чувствительностью и болезненными ощущениями, первые 2-3 дня следует воздержаться от молочной и кисломолочной продукции, а также от овощей и фруктов с повышенной кислотностью. Выбирая профессиональное отбеливание, вы получите долгосрочный, стойкий результат за одно посещение врача-стоматолога. Ни одно домашнее отбеливание при помощи специальных полосок или зубных паст не даст должного эффекта и не справится с пигментацией. Продлить белоснежный цвет ваших зубов поможет регулярная профессиональная гигиена полости рта в комплексе с домашним уходом и ежедневной чисткой зубов дважды в день.

Перед началом лечения стоматолог «Руссдент» озвучит вам точную стоимость всех услуг!

У нас понятное и прозрачное ценообразование.

Иногда бывает, что отбеливание только на одну челюсть эстетически не привлекательно, потому что после цвет зубов на верхней и нижней челюсти будет сильно различаться. Об этих рисках говорит стоматолога на первом осмотре и вы совместно принимаете решение о том, как лучше сделать.

Также существует бюджетное, но менее эффективное решение: домашнее отбеливание. Вы приобретаете в клинике «Руссдент» индивидуальные каппы и специальный гель с пониженной концентрацией перекиси водорода, а саму процедуру проводите дома, своими силами. Комплект стоит 6 000 рублей. Такое домашнее отбеливание абсолютно безопасно. Кроме того, стоматолог будет отслеживать процесс - после применения капп можно прийти на осмотр и убедиться в том, что все происходит правильно. Нам важно, чтобы вы остались довольны этой методикой, потому что она действительно эффективна и очень удобна.

Отбеливание не вредит зубам, как многие думают. Его можно делать, если вам больше 16 лет

Современные методики позволяют сделать процедуру быстрой и безболезненной. Единственное ограничение - возраст пациента. Если человеку меньше 16 лет, вероятно, ему откажут в отбеливании, так как эмаль формируется примерно до этого возраста. Но есть множество методик щадящего отбеливания. Чтобы определить, какой способ подойдет конкретно вам, необходим осмотр специалиста.

Стоимость

Отбеливание двух зубных рядов (одна процедура)
28 000 ₽
Отбеливание одного зубного ряда (одна процедура)
13 000 ₽
Повторное отбеливание (одна процедура)
10 000 ₽
Дополнительное домашнее отбеливание
7 500 ₽
Отбеливание 1-го зуба клиническое
4 500 ₽

Запишись
на приём

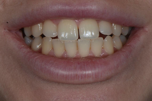
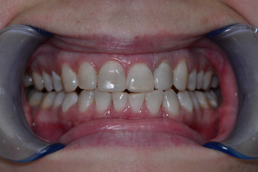
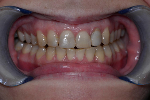
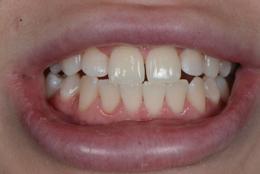
До/после лечения