Добро пожаловать ко мне!

Я — Шишка Любознайкина, маленькая, пушистая и очень умная белочка нашей лесной стоматологической клиники. Молочные зубки требуют особой заботы, особенно если они пострадали от кариеса или травмы. Когда зубик нуждается в поддержке, врачи предлагают установить красивую коронку — миниатюрную шапочку, которая укрывает и укрепляет пострадавший зубик. Этот способ защиты подарит ослепительную улыбку на долгие годы вперёд!

Безоян Карина Иосифовна — главный врач, детский стоматолог с 18-летним стажем

Искусственные коронки на молочные зубы — это своеобразная гарантия, что эти зубы точно достоят до смены без необходимости повторного в них вмешательства (на самом деле не 100 % точно, но точнее, чем зубы с пломбами).

Какие показания к «коронации» молочных зубов?

Да такие же как у постоянных:

  1. Разрушение коронковой (наддесневой) части зуба на 50% и более
  2. Частичное или полное удаление пульпы (нерва) из зуба: «мёртвый» зуб - показание к закрытию его коронкой
Безоян Карина Иосифовна

Стоимость

Лечение поверхностного, среднего кариеса постоянного зуба с постановкой пломбы гелио-композитом
7 000 ₽
Лечение глубокого кариеса постоянного зуба с постановкой пломбы гелио-композитом
8 000 ₽
Лечение глубокого кариеса постяонного зуба с постановкой детской стальной коронки
9 600 ₽
Лечение пульпита временного зуба методикой витальной ампутации с постановкой временной пломбы
6 600 ₽
Лечение пульпита временного зуба методикой витальной ампутации с постановкой пломбы гелио-композитом
8 500 ₽
Лечение пульпита временного зуба методикой витальной ампутации с постановкой детской стальной коронки
9 600 ₽
Лечение пульпита временного зуба методикой витальной ампутации с постановкой детской керамической коронки
14 900 ₽
Лечение пульпита однокорневого временного (молочного) зуба с пломбировкой корневого канала с постановкой временной пломбы
10 900 ₽
Лечение пульпита однокорневого временного (молочного) зуба с пломбировкой корневого канала с постановкой гелио-композитной пломбы
12 000 ₽
Лечение пульпита однокорневого временного (молочного) зуба с пломбировкой корневого канала с постановкой детской керамической коронки
18 000 ₽

К установке коронок на молочные зубы прибегают в следующих случаях:

  1. Обширный кариес. Когда повреждение зуба слишком велико для обычной пломбы.
  2. Повреждение зуба. В случаях, когда зуб поврежден из-за травмы или других причин.
  3. После лечения пульпита. Для восстановления формы и функции зуба после удаления воспаленной пульпы.
  4. Аномалии развития зубов. Когда зубы имеют нестандартную форму или размер, коронки помогают восстановить их нормальную функцию и внешний вид.
  5. Профилактика дальнейшего распространения кариеса. В некоторых случаях коронки используются для защиты зубов, склонных к частым кариозным поражениям.

Выбирая сеть клиник Руссдент для проведения профилактических процедур для молочных зубов, родители обеспечивают своим детям не только высокий уровень профессионального ухода, но и заботятся о формировании основ здоровой улыбки на всю жизнь.

Когда ещё покрытие молочного зуба коронкой будет оправданным?

Если у маленького ребёнка высокий риск развития кариеса и мы, например, идём в наркоз для лечения верхних резцов в моляров, на которых только кариес, а не пульпит. Почему поставить в этом случае коронки будет более дальновидным, чем пломбы? Молочные моляры стоят до 10-12 лет и если на них уже в 2-3 года кариес, то какова вероятность того, что кариес не разовьётся вокруг пломбы? Если мы поставили пломбу на жевательной поверхности, то какова вероятность, что через пару лет кариес не проберется на контактную поверхность? Такая вероятность не высока. Пломба всегда оставляет риск повторного вмешательства в зуб. А если наша цель, чтобы зуб достоял до смены без необходимости повторного вмешательства, то его нужно со всех сторон защитить от воздействия кариесогенных факторов - со всех сторон защищает только коронка. Коронки прощают недочёты гигиены!

Какие коронки ставят на молочные зубы? На жевательные зубы обычно стандартные - стальные никель/хромовые коронки. Быстро, дёшево и сердито. На передние - эстетичные коронки из диоксида циркония. В сознании без стресса для ребёнка раньше, чем в 4-5 лет вряд ли удастся поставить. У нас большой опыт работы с коронками. Более 6 лет я практикую работу с коронками на молочных зубах. Вижу отдалённые результаты. И рекомендую установку коронок ТОЛЬКО там, где они необходимы- по показаниям.

Зачем устанавливают детям коронки на молочные зубы?

Восстановление функции. Коронки позволяют маленьким пациентам нормально жевать пищу, что важно для их здоровья и правильного развития. Защита зуба. Коронка обеспечивает защиту ослабленного зуба от дальнейшего разрушения и инфекций.
Эстетический вид. Современные коронки имеют эстетический внешний вид, что помогает детям чувствовать себя уверенно и избегать комплексов из-за внешнего вида их зубов.
Подготовка к появлению постоянных зубов. Коронки помогают сохранить молочные зубы здоровыми до тех пор, пока не начнут прорезываться постоянные зубы, обеспечивая правильное формирование зубного ряда.
Профилактика неправильного прикуса. Наличие всех молочных зубов важно для правильного развития челюсти и предотвращения неправильного прикуса у детей.
В сети клиник Руссдент процесс установки коронок на молочные зубы максимально адаптирован под нужды маленьких пациентов. Использование современных материалов и технологий, а также индивидуальный подход к каждому ребенку, позволяют достичь отличных результатов, минимизируя стресс и дискомфорт во время лечения.
Зачем устанавливают детям коронки на молочные зубы?

Запишись
на приём

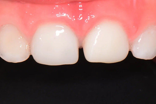
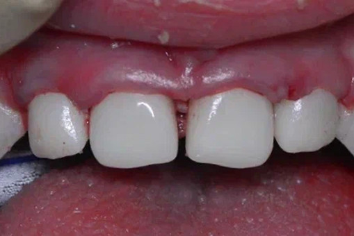
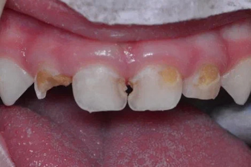
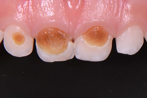
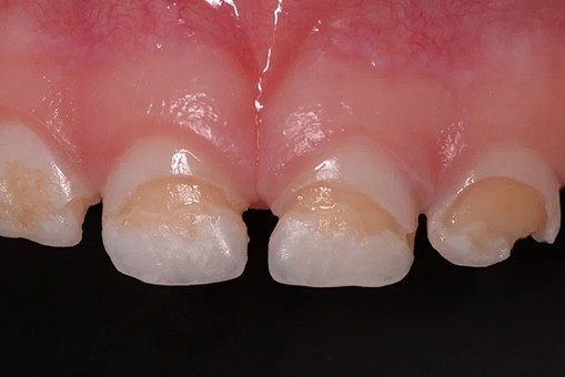
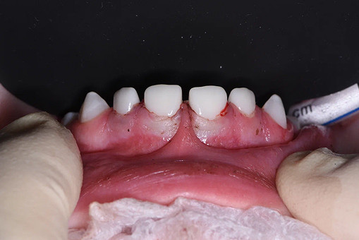
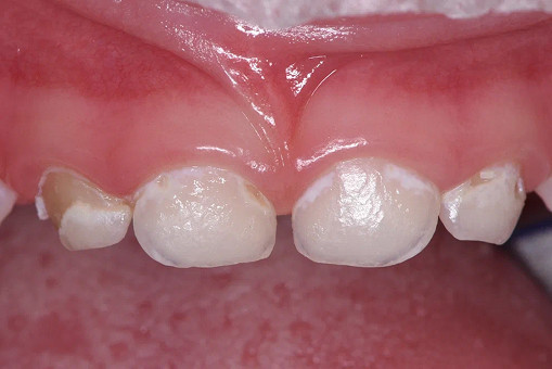
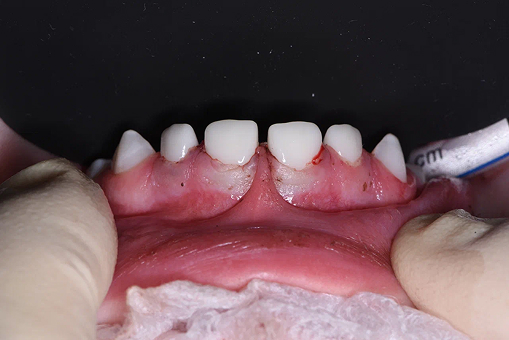
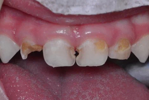
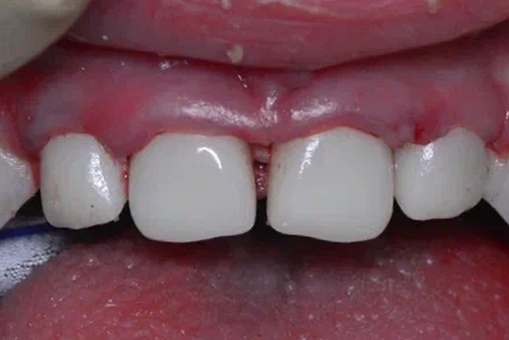
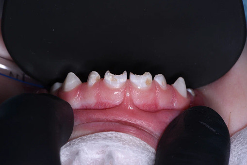
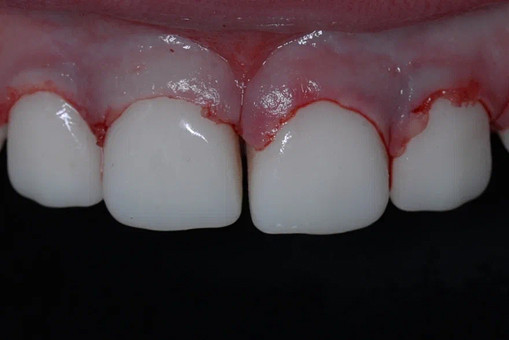
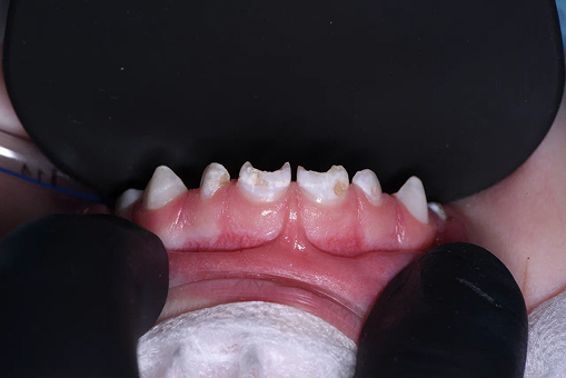
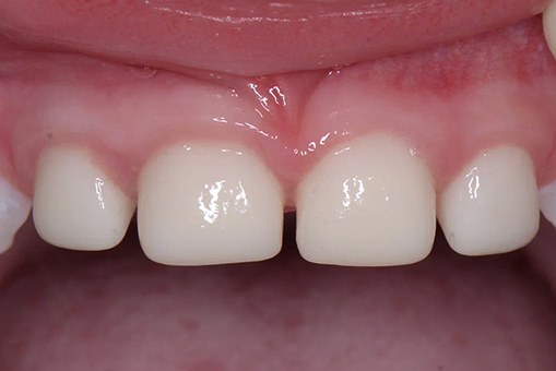
До/после лечения

Особенности процедуры по установке коронки на молочный зуб

Процедура установки коронок на молочные зубы в Руссдент проходит в несколько этапов:

  • Подготовка зуба. Включает в себя тщательное очищение и формирование зуба под коронку.
  • Выбор коронки. Используются высококачественные коронки, подобранные индивидуально для каждого ребенка.
  • Установка коронки. Коронка фиксируется на зубе с использованием специальных адгезивных материалов, обеспечивая надежное прилегание и долговечность.

Технологии, применяемые в детской стоматологии Руссдент

В Руссдент используются современные технологии для обеспечения качественного лечения:

  1. Цифровая диагностика. Позволяет точно определить размер и форму зуба для подбора идеальной коронки.
  2. 3D-печать. Используется для создания индивидуальных коронок, идеально подходящих к форме зуба ребенка.
  3. Биосовместимые материалы. Коронки изготавливаются из материалов, безопасных для здоровья ребенка и не вызывающих аллергических реакций.

Лечение проводится в дружественной и понятной для ребенка обстановке, что способствует формированию положительного отношения к посещению стоматолога в будущем. Специалисты Руссдент стремятся не только к восстановлению здоровья зубов, но и к обучению маленьких пациентов основам ухода за полостью рта, закладывая фундамент для здоровой улыбки на всю жизнь.

Выбор клиники Руссдент для установки коронок на молочные зубы детям — это выбор в пользу профессионализма, качества и индивидуального подхода, гарантирующего высокие результаты лечения и комфорт для вашего ребенка.

Преимущества лечения в Руссдент

Квалификация специалистов

Врачи Руссдент имеют специализированное образование и опыт в области детской стоматологии, что гарантирует профессиональный подход к лечению каждого ребенка.

Безопасность и комфорт

Клиники оснащены специальными детскими зонами, что помогает маленьким пациентам чувствовать себя более уверенно и комфортно во время визита.

Индивидуальный подход

В Руссдент уделяется большое внимание индивидуальным особенностям каждого ребенка, что позволяет подобрать оптимальное лечение и профилактику зубных заболеваний.