Исправление прикуса элайнерми Spark

Красивая улыбка к лицу каждому! Бесспорно - это привлекательный внешний вид и здоровье. Думаю, Вы не станете спорить, если я скажу, что каждый человек хотел бы иметь идеальную улыбку!

Сегодня в стоматологии выделяется отдельное направление, которое включает в себя не только лечение зубов, а в первую очередь технологию улучшения внешнего вида вашей улыбки путём исправления не идеального прикуса идеальными средствами. Эти средства идеальны потому, что действуют очень мягко, постепенно, не доставляют дискомфорта в ощущениях и почти незаметны на зубах - они прозрачны. Речь идет об элайнерах.

Система прозрачных элайнеров Spark™

Разработаны в соответствии с рекомендациями ортодонтов

  • Самые инновационные материалы изготовления элайнеров
  • Контролируйте и гибко меняйте лечение на всем протяжении от старта до финиша
  • Более предсказуемое и эффективное планирование лечения
  • 100% пациентов рекомендуют

Эла́йнер - это съёмный ортодонтический аппарат, представляющий собой специальные капы на зубы из полимерного материала. Элайнеры оказывают слабое постоянное давление на зубы, обеспечивая постепенное их перемещение по заданной траектории.

Американская компания Ormco существует с 1960 года и является одной из крупнейших в мире исследовательских и производственных компаний ортодонтической продукции. Одно из последних достижений компании - прозрачные элайнеры Spark.

Элайнеры Spark могут исправить различные виды нарушения прикуса, в том числе:

Скученность

01

Открытый прикус

02

Тремы

03

Глубокий прикус

04

Мезиальный прикус

05

Перекрестный прикус

06

Сравнение элайнеров Spark с элайнерами другого производителя

Прозрачнее

Spark — почти невидимые элайнеры, которым доверяют ортодонты во всем мире. Элайнеры Spark комфортнее и меньше окрашиваются по сравнению с элайнерами ведущего бренда.

Комфортнее

После печати, края элайнера проходят специальную лазерную полировку, что позволяет во многом увеличить комфорт при ношении, не царапая и не травмируя десну.

Меньше окрашиваются

Система прозрачных элайнеров Spark имеет минимальную степень окрашивания по сравнению с элайнерами ведущего брэнда.*

Преимущества элайнеров Spark

Продукция компании Ormco имеет особые преимущества на мировом рынке средств ортодонтии. Элайнеры Spark эффективно обеспечивают:

Повышенный комфорт за счёт отполированных краёв капы, соответствующих линии десны пациента

01

Постоянное устойчивое силовое воздействие на зубы

02

Мягкое, постепенное и точное перемещение зубов

03

Незаметное для окружающих ношение капы

04

Не подверженность окрашиванию кофе, чаем или вином

05

Эстетичный вид и лёгкость съёма для гигиенического ухода за капой и полостью рта

06

Рассказываем про элайнеры

Быстро, доступно и без заметных следов лечения — знакомьтесь с возможностями современных элайнеров. Получите полное представление о комфорте и эффективности новой технологии!

Современные технологии исправления прикуса

Исправление прикуса элайнерми Spark

Spark TruGEN™ и TruGEN XR™

Инновации в материалах элайнеров

TruGEN обеспечивает более устойчивое силовое воздействие, большую площадь контактной поверхности и предназначен для более эффективного перемещения зубов по сравнению с элайнерами ведущего бренда.

Научные основы элайнеров Spark

Более 98% врачей согласны с тем, что результаты лечения становятся более предсказуемым, если повысить плотность контакта элайнеров с зубами*

*На основе опроса 60 врачей, применяющих Spark на практике в 100 или более случаях. По данным внутренних исследований.

Программное обеспечение 3D Approver

Больше контроля. Более предсказуемое планирование лечения.

Программное обеспечение 3D Approver от Spark дает врачам больше возможностей для контроля и необходимой гибкости лечения.

Результат очевиден!

Как сделать первый шаг навстречу красивой улыбке? Увидеть разницу, которую можно создать при помощи наших прозрачных элайнеров! Врач может смоделировать будущую улыбку еще до начала лечения, применив 3D-сканирование.

Этапы коррекции патологии прикуса

  • Элайнеры Spark предназначены для лечения всех видов патологии прикуса: скученность зубов; дистальный прикус/саггитальная щель; тремы; перекрестный прикус; мезиальный прикус; глубокий прикус.

  • Процесс коррекции начинается с первичной консультации. Врач осмотрит улыбку пациента и покажет возможности системы Spark в каждом конкретном случае. Следующий шаг - цифровое сканирование улыбки пациента для создания индивидуального плана коррекции.

  • После составления плана изготавливаются индивидуальные элайнеры для ношения пациентом. Врач контролирует процесс исправления прикуса, разъясняет дальнейшие задачи, согласовывает график посещений.

  • Далее, на протяжение всего периода лечения патологии прикуса врач выдает поэтапно пациенту следующие комплекты элайнеров. С каждым набором элайнеров пациент будет видеть прогресс в направлении к своей новой улыбке.

  • Противопоказанием является только активная форма пародонта. В этом случае коррекцию прикуса придётся отсрочить на период лечения болезни десен.

Сроки исправления прикуса

Чтобы узнать, какие у вас перспективы на пути к идеальной улыбке и какое на это потребуется время - запишитесь на первичную консультацию в клинику Руссдент.

В стоимость лечения на Элайнерах входит:

  • Консультация ортодонта
  • Диагностика – снятие оттиска, изготовление диагностических моделей, анализ данных клинического и рентгенологического обследований, измерение диагностических моделей. Постановка диагноза
  • Планирование ортодонтического лечения в программе ClinCheck. Создание виртуального сетапа всего периода лечения
  • Элайнеры
  • Фиксация аттачментов и элайнеров
  • Ортодонтическая коррекция перемещения зубов при лечении на элайнерах
  • Фиксация несъемного ретенционного аппарата
  • Изготовление съемного ретенционного аппарата

Только в Руссдент Элайнер-clinic

  • Действует индивидуальное предложение
  • Возможность воспользоваться рассрочкой (проценты берем на себя)
  • 0 до 500 000 руб
  • Оплата равными частями
  • До 9 месяцев
  • 0% переплат

Запишись
на приём

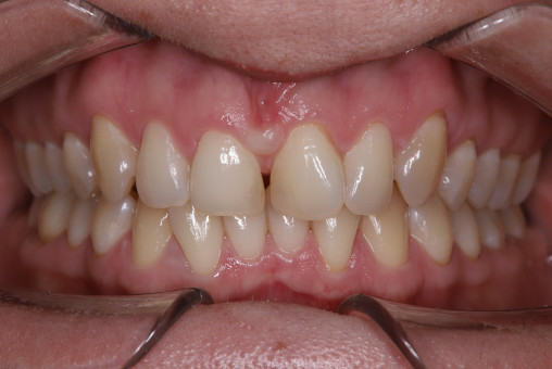
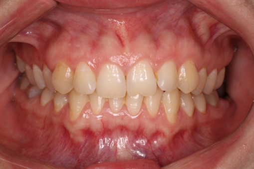
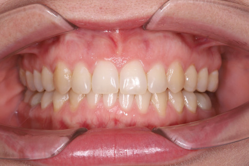
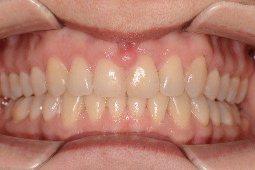
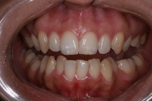
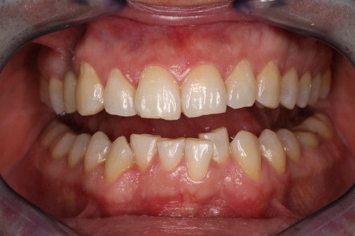
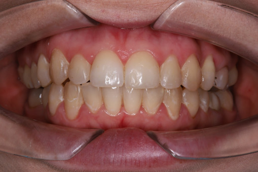
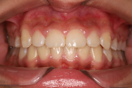
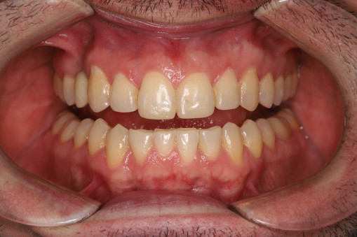
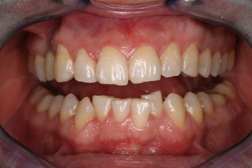
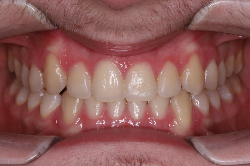
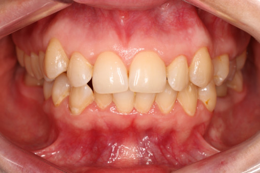
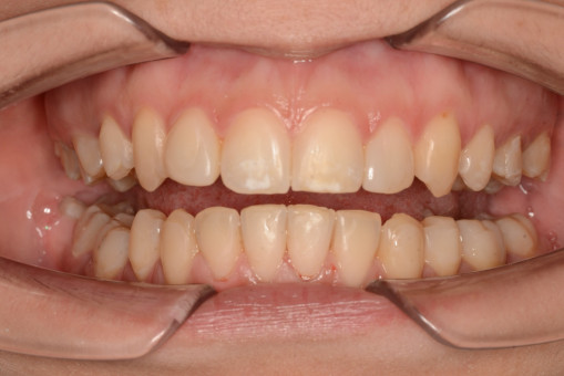
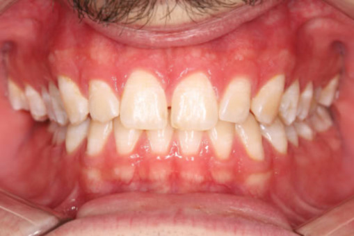
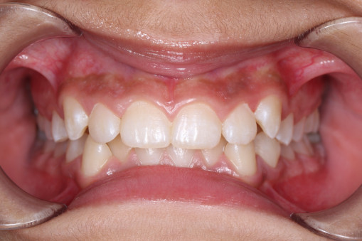
До/после лечения