Хай-хай, морской следопыт!

Я — Щёлкоклюв Поклёвкин, ваш друг-стоматолог с Северного полюса! Увидел дыру в зубике? Похоже, кариес решил атаковать твои зубки? Не бойся, мы вооружены новейшим оборудованием и знаниями! Наши врачи аккуратно вылечат твои зубки, чтобы они были такими же крепкими и здоровыми, как морские льды!

Корхмазова Гаянэ Тамазовна — с 12-летним стажем

В нашей клинике лечение кариеса проводится по всем мировым стандартам с использованием коффердама, под увеличением, делаем фотопротокол, местную анестезию (при необходимости общую или ЗАКС).
Корхмазова Гаянэ Тамазовна

Стоимость

Лечение кариеса временного (молочного) зуба с постановкой временной пломбы
2 600 ₽
Лечение кариеса временного (молочного) зуба с постановкой пломбы гелио-композитом
6 000 ₽
Лечение кариеса временного (молочного) зуба с постановкой детской стальной коронки
7 700 ₽
Лечение кариеса временного (молочного) зуба с поставновкой детской керамической коронки
12 400 ₽
Лечение кариеса постоянного зуба с постановкой временной пломбы
2 600 ₽

Последствия для ребенка, если не лечить кариес

Лечение кариеса молочных зубов у детей исключает возможные негативные последствиях, с которыми может столкнуться малыш, если своевременно не полечить молочный зуб.

Выделяют 4 самые распространённые:

  1. Негативное влияние на развитие зачатка постоянного зуба. Под каждым временным зубом прорезается здоровый. Именно поэтому нужно лечить кариес молочных зубов. Если этого не сделать, то инфекция перейдёт с временного на зачаток постоянного зуба, а это уже способно привести к более серьёзным проблемам.
  2. Нарушение прикуса. Если у ребенка кариес на молочных зубах год и более, то он может перейти из начальной стадии в глубокую форму. Глубокий кариес молочных зубов опасен для ребенка. Он приведёт к тому, что зубик придется удалить, даже когда он ещё нужен, то есть, коренные зубы ещё не успели прорезаться, что приведёт к нарушению прикуса и смещению зубов (резцов, клыков, моляров). Придётся носить брекеты и элайнеры. Когда молочные зубы поражаются кариесом, а постоянные зубы ещё не появились, то откладывание лечения может привести к ещё большим проблемам для полости рта. Лучше лечить начальный кариес молочных зубов как только он появился.
  3. Негативное влияние кариеса на здоровье ребёнка. Когда появился кариес и молочный зуб болит, значит уже начался не самый радужный процесс - распространение инфекции. Такой зуб может легко повредить не только соседние зубки, но и вызвать проблемы с горлом, ЖКТ и даже сердцем. Это ответ на то, почему надо лечить кариес молочных зубов.
  4. Эстетика. Малыш начнет стесняться и комплексовать. Когда образовался детский пришеечный кариес молочных зубов или кариес любой другой формы, всё это сказывается на эстетичности зубиков малыша. Черные точки выглядят не самым лучшим образом, мальчик или девочка начинают комплексовать из-за своего некрасивого внешнего вида. Поэтому лучше лечить зубки на ранних стадиях инфекции.
Кариес - самое распространенное заболевание в практике врача стоматолога. В нашей клинике мы проводим лечение всех видов кариеса (поверхностного, среднего и глубокого), при необходимости лечение может проводиться как с использование ЗАКС (закись азота кислородная седация), так и под наркозом.
Показаниями к процедуре лечения кариеса относятся- пятна на эмали, дефекты, сколы, наличие болезненных ощущений при приеме пищи. Противопоказаний нет. В случае аллергии на местные анестетики, отсутствии контакта ребенка с врачом, страха у ребенка- лечение проводится в условиях общего обезболивания.
Лечение кариеса проводится следующим образом - сбор анамнеза, проведение местной анестезии, дентальный снимок (при необходимости), изоляция (коффердам), фотопротокол, удаление кариозных тканей (с использованием бора), антисептическая обработка полости, реставрация пломбировочным материалом, шлифовка, полировка.
Перед лечением (если это не лечение под ЗАКС или наркоз) ребенок не должен быть голоден, так как местную анестезию нельзя проводить натощак, плюс нельзя кушать жесткую пищу пока не отойдет анестезия, а это около 2-х часов. И самое главное - лечение каждого ребенка в нашей клинике мы проводим с большой любовью, поэтому и результат лечения всегда на высоте.

Запишись
на приём

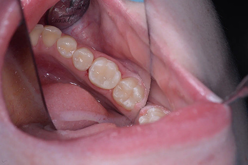
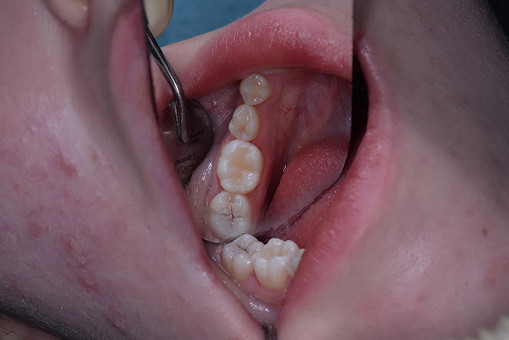
До/после лечения

Стоматология нового уровня

Руссдент — это собственный учебный центр по повышению квалификации врачей стоматологов. Руссдент — это собственная зуботехническая лаборатория полного цикла. Профессионализм, качество, инновации — принципы, которые мы заложили в основание Руссдент, но главный наш принцип — «не навреди!»

Руссдент — это полноценная стоматологическая экосистема. У нас ты найдёшь всё для лечения своих зубов

Все манипуляции проводятся под действием анестетика

Препарат подбирается индивидуально, чтобы избежать возможной аллергической реакции.

Используются разные методы обезболивания

Аппликация при помощи спрея или геля, инъекция в десну, введение анестетика в ткани около нервных окончаний.

Проведение лечения во сне (под седацией)

Такой метод анестезии чаще всего показан юным пациентам, людям с повышенной тревожностью или при сложных и длительных операциях.