Товарищи! Рот — не помойка! Пусть каждый зуб бьёт, как молот в набат: Чистота — не блажь, а броня для тех, кто сражается за жизнь, без стоматологических драм!

Гигиена полости рта, на сегодняшний день, стала такой же неотъемлемой частью современной жизни, как ежедневный душ, уход за кожей и посещение косметолога. Вид красивой улыбки и свежее дыхание ассоциируется у большинства из нас со статусом успешного и привлекательного человека.

Представьте: на встречу с инвесторами приходят два человека. Первый — в идеально скроенном костюме, с улыбкой, от которой слепит, как от экрана iPhone. Второй — в мятой рубашке, а его дыхание напоминает, что он позавтракал кофе с сигаретой. Кому доверят миллион? Ответ очевиден.

Гигиена полости рта давно перестала быть банальной «чисткой зубов». Это «культурный код», отличающий тех, кто строит себя, от тех, кто плывёт по течению в потоке лени и нытья.

Однако, услуги стоматологических клиник, предлагающих профилактику и лечение, не имеют порой четкого стандарта и формируют цены от запроса и кошелька разных слоев общества.

Пока одни покупают дешёвые щётки «3 по цене 2», другие коллекционируют дизайнерские электрические щётки за $300. Зубная паста с углём, ионные нити, нанопокрытие для эмали — это уже не просто гигиена, а статусный фетиш.

В Шанхае открылись клиники, где чистку зубов совмещают с арт-терапией: пока врач удаляет камень, вы любуетесь картинами Баския.

В Нью-Йорке модно делать «зубной ботокс» — покрытие, придающее эмали эффект мокрого блеска. А в Москве блогеры хвастаются чеками за «гигиену с клубничным CBD-ополаскивателем».

Стоимость

Герметизация фиссур зуба
4 000 ₽
Обработка поверхностей зубов для снижения чувствительности (десенситайзер)
750 ₽
Удаление твердых зубных отложений механическим способом (один зуб)
190 ₽
Механическая чистка зубов с применением чистящих паст (один зуб)
190 ₽
Снятие зубных отложений ультразвуковым аппаратом (один зуб)
190 ₽
Удаление зубного налета бластером, гидромассаж десневого края Air– flow (один зуб)
190 ₽
Процедура гидромассажа при лечении гингивита
3 400 ₽
Комплексная гигиена полости рта 1 визит (Prophylaxis Master)
8 800 ₽
Отбеливание двух зубных рядов (одна процедура)
28 000 ₽
Отбеливание одного зубного ряда (одна процедура)
13 000 ₽

Так ли все это необходимо?

Считаем, что не стоит из гигиены делать культ и посвящать ей все свое свободное время, тем более, тратить на это огромные деньги!

Давайте разберем все по порядку.

Полость рта — уникальная экосистема, где взаимодействуют более 700 видов микроорганизмов, иммунные клетки и факторы врождённого иммунитета. Слизистая оболочка рта ежедневно подвергается атакам бактерий, вирусов и грибов. Но благодаря местному иммунитету 95% инфекций нейтрализуются на начальном этапе.

Мы работаем с иммунитетом. Иммунитет полости рта — динамичная система, и дисбаланс в этой системе ведёт к развитию кариеса, пародонтита, различным формам стоматита и даже системным осложнениям, например, сердечно-сосудистым заболеваниям. Как писал Пауль Эрлих: «Иммунитет — это искусство баланса». Сохраняя его, мы защищаем здоровье в целом.

Занимаясь вопросами гигиены уже более 20 лет, мы сформировали четкое сочетание персонифицированной гигиены, нутритивно поддержки и инновационных технологий, имея при этом самое современное,на сегодняшний день, оборудование. Наша технология лечения десен не стоит больших денег и доступна практически каждому! Уникальная комплексная иммуномодулирующая методика лечения десны, в основе которой используется гидротерапия высоким давлением, является нашей гордостью и эксклюзивно внедрена в повседневную стоматологическую практику врачей–пародонтологов сети стоматологических клиник Руссдент.

Философией успеха считаем комплексный подход в лечении, состоящий не только из профессиональных манипуляций врача, но и вовлеченности в процесс пациента, от которого тоже зависит результат стойкой ремиссии. Мы вместе восстанавливаем иммунитет! Иммунитет полости рта. Восстанавливая здоровье десны и «освобождая» пациента от необходимости регулярной профессиональной чистки зубов!

Своими достижениями в области лечения десны мы с радостью готовы поделиться с нашими пациентами и оказать квалифицированную помощь в случае нуждаемости в ней!

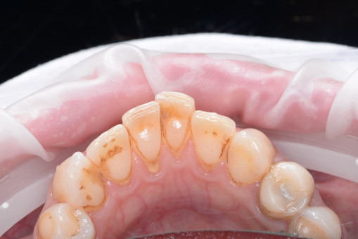
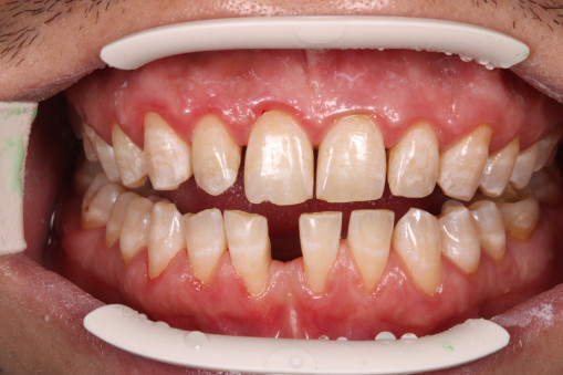
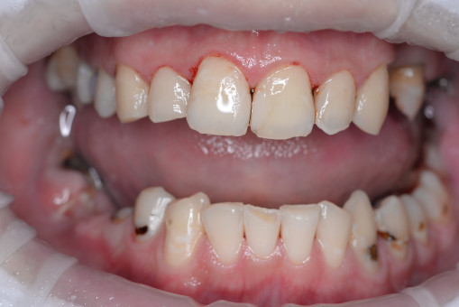
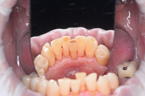
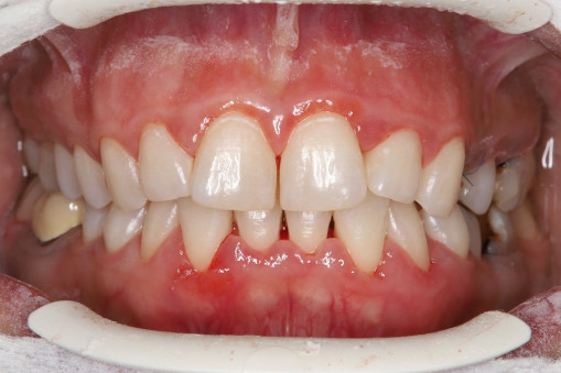
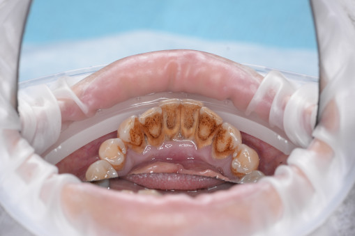
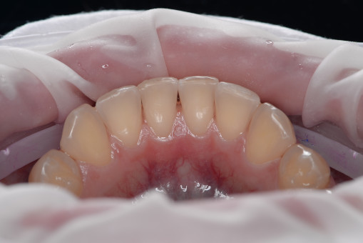
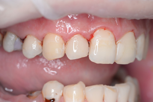
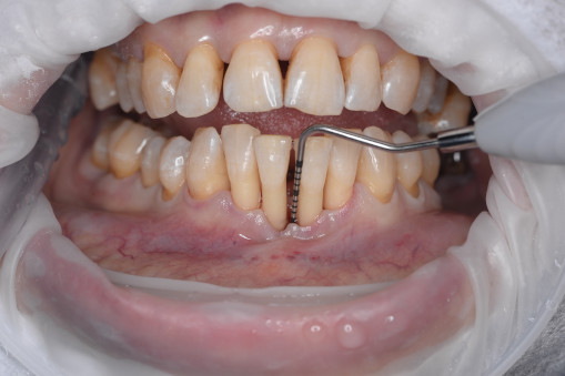
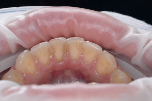
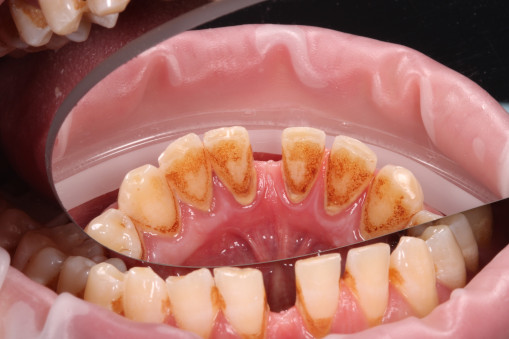
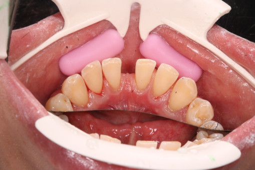
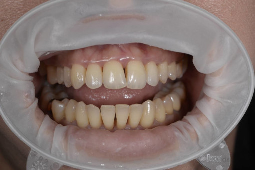
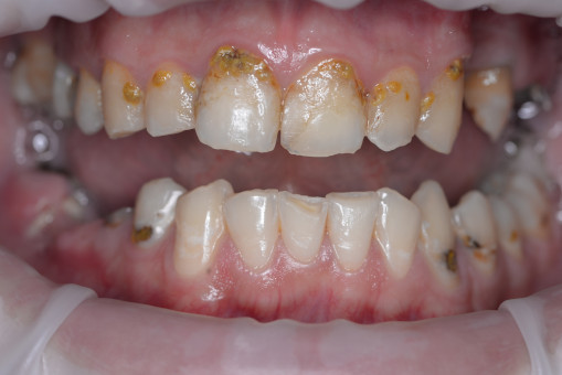
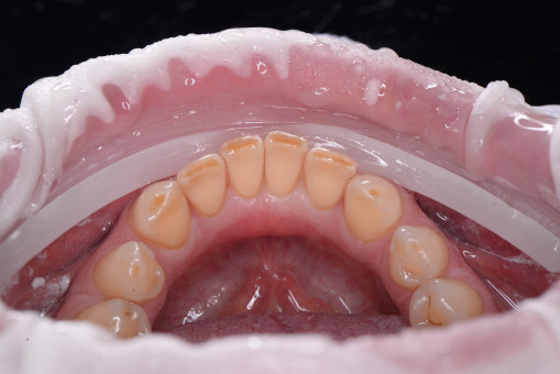
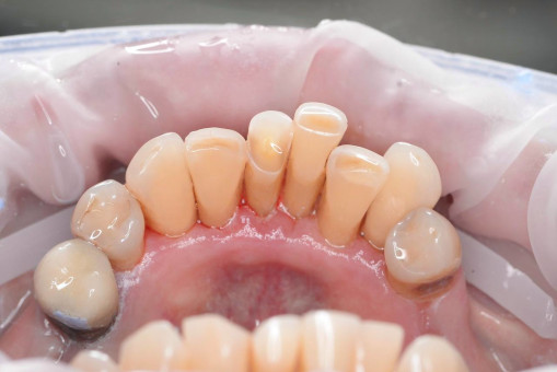
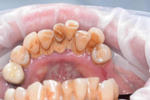
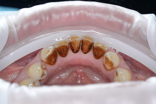
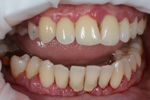
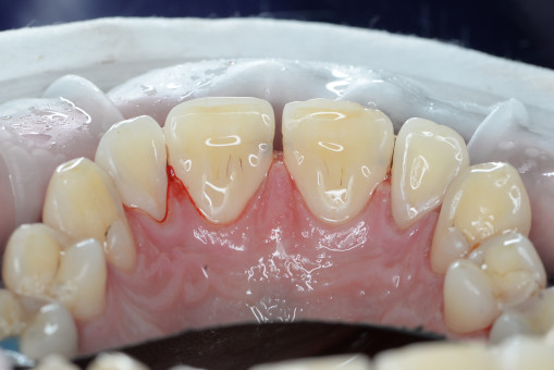
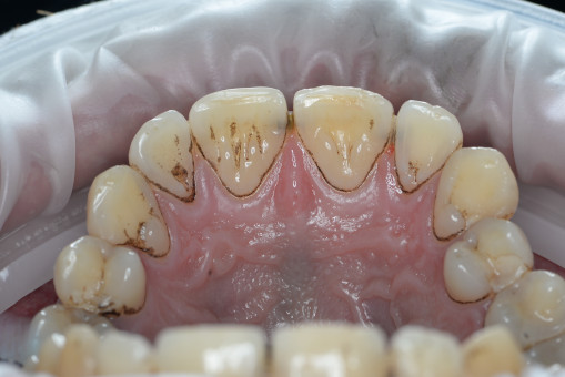
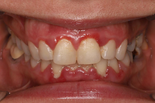
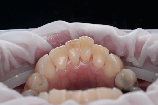
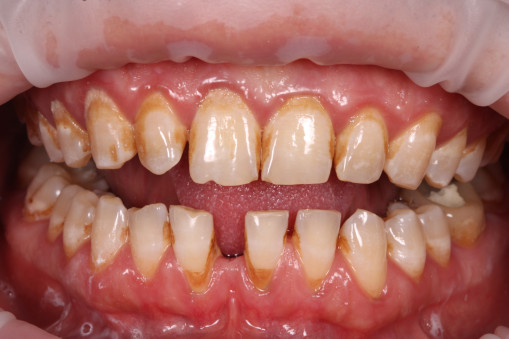
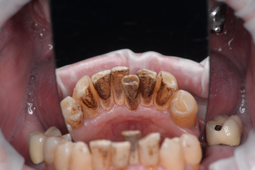
А прежде, чем вы посмотрите фотографии «до» и «после» лечения слизистой оболочки полости рта, проведенных в нашей клинике, хочу поблагодарить большое количество наших пациентов, которые поверили, прониклись нашей концепцией, и мы вместе, именно вместе победили болезни десны, гингивит и пародонтит!

Запишись
на приём

До/после лечения