Виды реставрации зубов

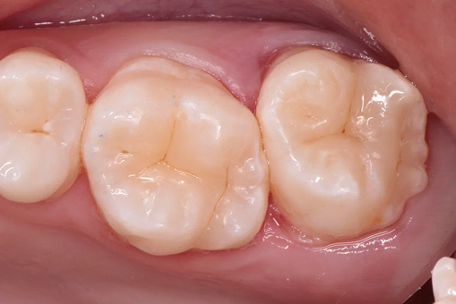
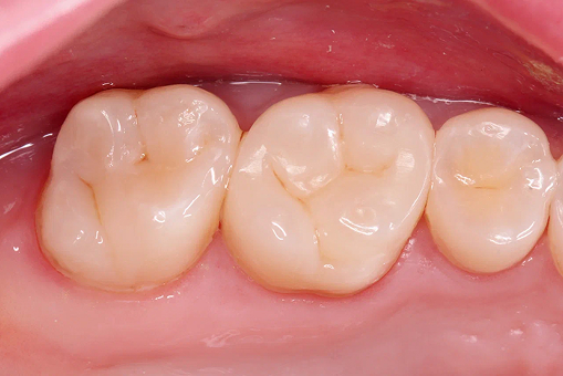
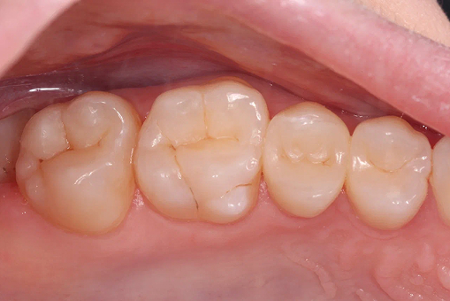
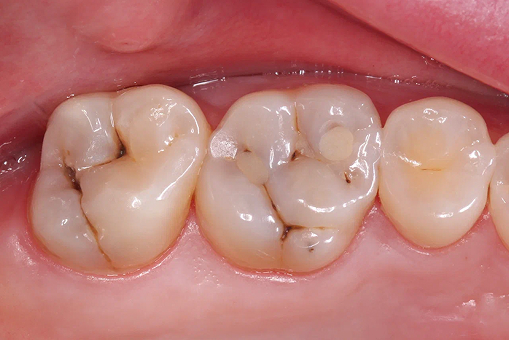
Композитная реставрация зубов

Основное отличие композитной реставрации зубов от обычного пломбирования состоит в конечном результате.

Отреставрированный зуб становится идентичен по цвету своему естественному аналогу. Его естественная форма восстанавливается с учетом всех анатомических особенностей.

Последний аспект имеет первостепенное значение для нормальной функции височно-нижнечелюстного сустава, что важно для здоровья не только полости рта, но и всего организма в целом.

Если композитная реставрация передних зубов проведена качественно, пациент не сможет определить на ощупь языком наличие пломбы и не будет испытывать ощущений чего-то инородного в полости рта при смыкании челюстей.

Даже самая обычная пломба должна быть красивой. Поэтому прямая композитная реставрация зубов в стоматологии все чаще становится альтернативой привычному пломбированию и активно используется как завершающий этап в лечении кариеса.

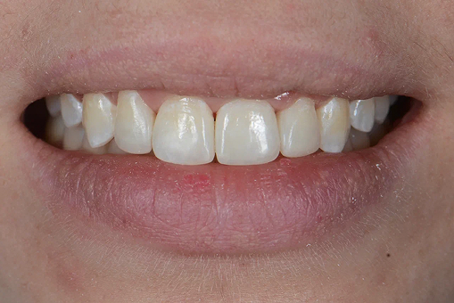
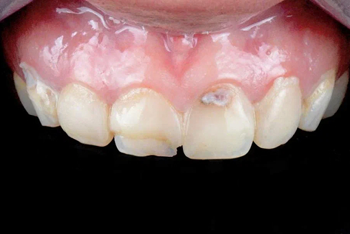
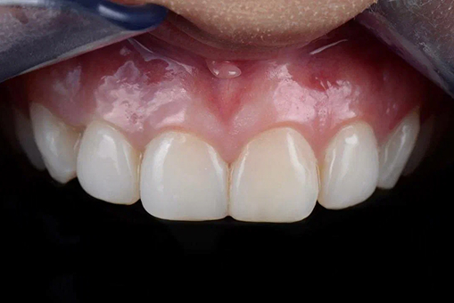
Художественная реставрация зубов

Реставрация такого рода решает исключительно задачи эстетики.

  • Неправильная форма
  • Недостаточная длина или размер зуба
  • Зубные сколы
  • Дефекты, полученные в результате травм
  • Щербинки между зубами
  • Некрасивая форма зуба

Для такой тонкой работы от стоматолога требуется не просто умение, а настоящий талант. Он должен обладать техникой многослойного наложения различных материалов для достижения эффекта прозрачности.

Реставрация кривых зубов

Исправление формы зуба с помощью наращивания. Высокоточная процедура требующая мастерства.

  • Неправильная форма
  • Недостаточная длина или размер зуба
  • Зубные сколы
  • Дефекты, полученные в результате травм
  • Щербинки между зубами
  • Некрасивая форма зуба

Как известно, искривленное положение зубов – это показание к ортодонтическому лечению, к ношению брекетов или других конструкций, провоцирующих смещение зубов в нужную сторону.

Однако в некоторых случаях при незначительных, но все же заметных искривлениях, возможна художественная реставрация кривых зубов. Она помогает избавиться от недостатков улыбки, избежав стресса от длительного лечения, предполагающего ношение брекетов. Особенно актуальна реставрация фронтальных зубов, имеющих искривления.

Большинство врачей стоматологов до сих пор не знают анатомию зуба. Для чего нужны бугры, скаты, ямки и борозды. Но не в Руссдент! Мы упорно над этим работаем уже много лет и Нам есть чем гордиться!

Зачем нужна эстетическая реставрация зубов?

Даже если от природы у вас идеальная улыбка, со временем она может потерять свой совершенный вид. Общие и стоматологические заболевания, острые травмы, стираемость, возрастные факторы – всё это разрушает эмаль, повреждает дентин. Однако, современная стоматология позволяет исправить указанные проблемы за счёт реставрации зубов.

Если упрощённо, стоматолог сделает вам очень, очень хорошую пломбу, которая будет восстанавливать зуб до естественного состояния. Речь здесь идёт не только о полном возврате функциональности, но и о возврате утраченной эстетики.

В клинике «Руссдент» мы делаем эстетическую реставрацию, даже при сколах на 40%

Перед началом лечения стоматолог «Руссдент» озвучит вам точную стоимость всех услуг!

У нас понятное и прозрачное ценообразование.

FAQ

Недорогая реставрация зубов – это миф: трудоёмкая работа, требующая высокой квалификации специалиста, не может стоить дёшево. Но, обращаясь за восстановлением контактной поверхности зуба в стоматологический центр «Руссдент» города Краснодар, вы получите качественное лечение по самой честной стоимости, без лишних наценок.

Стоимость реставрации зубов нельзя определить точно до осмотра в кресле стоматолога.Существует ряд факторов, из которых будет складываться цена восстановления контактной поверхности зуба:

  • Материалы, которые будут использоваться в работе врача
  • Характер дефекта (локализация, выраженность)
  • Общий объём работы

Стоимость

Художественная реставрация зуба композитным материалом в переднем отделе верхней челюсти (13-23 зуба)
18 000 ₽
Художественная реставрация композитным материалом зуба в боковом отделе
9 500 ₽

Записывайтесь на консультацию по телефону, указанному на нашем сайте

Без боли

Лечение зубов во сне. Вы просыпаетесь уже после окончания процедуры. Лечение зубов под седацией подходит взрослым и детям.

Без ошибок

Лечение зубов под микроскопом позволяет врачу видеть: микротрещины, дефекты установки коронок, скрытое кариозное поражение.

Без промедления

Мучает острая боль? Вы можете записаться к нашему врачу на экстренный приём.

Запишись
на приём

До/после лечения