Краткое описание

Двухдневный практический курс.

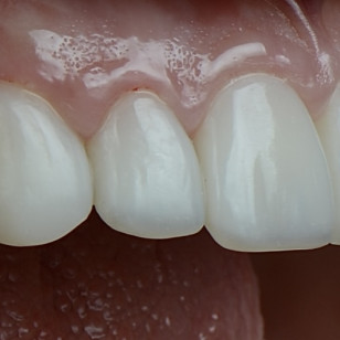
  • Изучение основ эстетики пропорций зубов, доминирования центральных резцов верхней челюсти, контактных пунктов, межзубных промежутков у режущего края, межзубных промежутков в пришеечной области, десневого контура и его морфологии, десневого наклона.
  • Определение и подбор цветового пигмента, цвета свечения, тона, насыщенности и прозрачности эмали зуба.
  • Восстановление функции, анатомии и эстетики зубов с использованием современных протоколов.
  • Последовательное изучение реставраций от жевательного отдела к фронтальному.
  • Разбор клинических случаев, ответы на вопросы

Спикеры

Тлиап Светлана Нальбиевна

Тлиап Светлана Нальбиевна

Стоматолог-реставратор сети стоматологий «Руссдент» с опытом работы более 8 лет.

Практическая часть

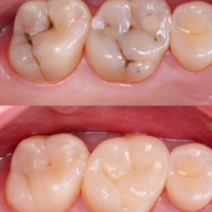
  • Отработка реставраций на фантомных моделях.
  • Восстановление: полости I класса по Black, полости II класса (МОД) с формированием контактного пункта, полостей III и IV класса, включая имитацию скола режущего края.
  • Формирование: окклюзионной анатомии, бугров и фиссур, маргинальных гребней и проксимальных поверхностей.
  • Работа с матричными системами и клиньями.
  • Послойная техника стратификации композита.
  • Закрытие диастем и трем, коррекция формы зубного ряда.
  • Протоколы контурирования, окклюзионной коррекции, шлифовки и полировки.

Итоги

  • Понимание принципов функциональной окклюзии и эстетического планирования.
  • Уверенное восстановление анатомии жевательных и фронтальных зубов
  • Прогнозируемый результат прямых композитных реставраций.
  • Повышение качества и долговечности клинических работ.

Начните обучение уже сейчас — запишитесь на офлайн-курс и прокачайте свои навыки

Записаться на курс